Root canal treatment, RCT or an endodontic treatment is a procedure involving the removal of blood vessels and nerves that are present inside the roots of the teeth, just like bone marrow. Root canal treatment is required when the bacteria or dental caries (tooth decay) reach from the outermost layer (enamel) to the inner layer of the tooth (pulp) due to which nerve and blood supply get infected. The infected pulp is removed during root canal treatment to save teeth extraction.

Root canal treatment is also performed in crown cutting for dental bridge work, mostly in old age where teeth have undergone attrition and if roots are exposed in tooth crown fracture (road traffic accidents, playground injuries) or if turns black post trauma after years.



The root canal treatment price in Lahore ranges from Rs. 500/- to Rs. 35,000/-. The range of root canal treatment costs depends on the following factors.
The price of root canal treatment depends on what place you are selecting for treatment. The cost of the root canal treatment at a teaching hospital is less than at a private clinic because they are funded by the government. However, if you select a private clinic for your treatment, it will be performed by an experienced specialist called an Endodontist therefore, the treatment cost is slightly higher compared to the Government’s dental and teaching hospitals. If you're visiting a teaching or government dental hospital for RCT, then the procedure is performed by inexperienced junior dentists or house officers, for which you have to wait for long hours. You will have to wait for months to get an appointment for Root canal treatment. Moreover, you have to travel long distances to reach the hospital due to which your precious time will be wasted and the cost of travel will be a financial burden. Furthermore, in private clinics you don't have to wait in long queues and you are treated with compassion, and care in a relaxed environment. Private dental clinics are equipped with the latest technologies and dental filling materials for root canal treatment and other procedures due to which they provide the best quality treatment.
The root canal treatment cost in Lahore is also affected by the dentist's qualification. A general dentist does not have the skills to perform complex root canal treatments and it will be difficult for them to treat teeth with curved or multiple roots.
An endodontist is a specialized dentist who is an expert in root canal treatment procedures. An endodontist is qualified and obtained a postgraduate degree in endodontics after General dentistry degree, and has all the knowledge and expertise to perform a root canal treatment on any tooth irrespective of its curvature and blocked root canals. Therefore, the charges of a specialist are more than those of a general dentist.
The cost of root canal treatment in Lahore depends on the experience of the dentist. A skilled and experienced dentist will charge more root canal treatment costs in Lahore than an inexperienced dentist because of his proficiency and expertise.
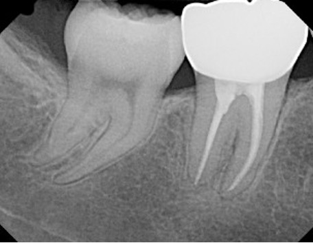
The charges of root canal treatment also depend on the position of the teeth. The cost of front or anterior teeth is less than the posterior teeth because of the complexity of treatment.
The number of roots varies in each tooth. Front teeth have one root, and premolars usually have two roots; however, posterior or back teeth have multiple roots that can range from three to four or sometimes five. Therefore, the price of posterior teeth is more than the anterior teeth because of the use of more material and vision complexity.
Treatment of infected teeth is complex as it is required to prescribe antibiotics before starting the procedure and sometimes multiple visits in months are required to complete the root canal treatment due to intra canal medicaments are placed and left there for months until periapical infection resolves. Moreover, teeth that require root canal treatments are usually broken and severely decayed due to which a lot of tooth structure is lost. In this condition, it is required to place an endo post or a fiber post to build the walls and structure of the tooth. Furthermore, a crown or cover is placed after completion of root canal treatment to protect it from breakage and damage. These additional procedures enhance the cost of the treatment.
Dr. Omar Farooq Ahmad is the Best Dentist in Lahore who has treated thousands of patients throughout his career. He has 22 years of experience and is famous and renowned for his vast experience in operative dentistry in Lahore. His expertise and knowledge are remarkable in all fields of dentistry. Patients are always satisfied with the quality of treatment and soft hands.
He is renowned for his exceptional skills and command of root canal treatment. He has treated uncountable complex cases of root canal and none of the patients reported any complaints or complications after the procedure. Additionally, he attended many international conferences where he learned the latest techniques and also trained several dentists who are currently working under his skillful team.
If you, your friend or family member suddenly starting pain tooth and you started searching for best dental clinic in Lahore on Google, your search is over at DENTAL ART because we have specialized team of dentists having more than 22 years clinical experience. You can book emergency same day appoinment with them.
The root canal treatment aims to remove all infection, and then fill the canal system with inert dental material to prevent bacteria from re-colonizing inside the tooth. Root canal treatment (RCT), is a skilled and time-consuming procedure. Most courses of treatment will involve two visits or more to your dentist. Sometimes prophylaxis antibiotics are prescribed that help to reduce the infection and then RCT is performed in the following steps:
● Before beginning the treatment, the dentist takes an x-ray of the tooth to assess the tooth decay and severity of infection. Moreover, the number of the tooth roots and their curvature are also checked. In curved and calcified roots some endodontist advice CBCT to check the diameter and anatomy of roots in details.
● Some dentists confirm the diagnosis through electric pulp testing (ETP) which is a device that sends an electric current through the roots to assess if the tooth pulp reacts.
● Then, a local anesthetic is administered to make the procedure pain-free.
● In the next step, the tooth is opened by cutting burs by using a handpiece to access the canals with endo files, and pus is drained in case of an abscess or infection.
● The infected pulp is removed from the canals, which makes the tooth dead and pain free.
● The canals inside the root are cleaned and shaped with tiny instruments called files in single and multiple visits, followed by the root canals are sealed with gutta-percha points or root canal paste in baby teeth. This process is called obturation.
● After the filling of roots, the tooth is filled with a choice of filling material, and the lost structure is built with the help of fiber post if needed.
● Lastly, the root canal-treated tooth is covered with a crown (ceramic, zirconia, porcelain fused to metal, metal) to prevent it from fracture under chewing forces can cause reinfection.
Root canal treatment can be completed in single or multiple visits.
In a single-visit root canal treatment, the tooth is opened, cleaned, and filled in a single visit. This type of treatment is ideal for non-infected teeth and is usually performed on the front teeth. There is no hassle to visiting your dentist again and again.
Many infected teeth are treated by RCT, but chronic infections take time to heal. Therefore, a root canal is performed on visits to eliminate the infection and leave the treated tooth for natural healing. Most of the time, 3 visits are enough to complete the procedure, but sometimes it can extend up to 5 visits depending on the condition of the tooth.
Root canal procedures can be performed either manually or with the help of endo motors which are discussed below.
The root canal procedure requires different types of files to clean the canals and debris. Manual root canal is performed by hand files, and it takes a lot of effort and time. It is usually performed by students and house officers as this method is cheaper compared to root canals with machines. Furthermore, there is more space for errors and mistakes.
Rotary root canal procedure is performed with endo motor that is electric powered machine and the different files are used to clean the debris and shape up the canals. This procedure is effective, time saving for both patient and dentist and is practiced worldwide to ensure the quality of the treatment. It is mostly practiced in high profile dental clinics by experienced and specialized dentists or endodontists. Therefore, the charges for rotary root canal are comparatively higher than manual RCT.


Root canal treatment is necessary when dental caries or tooth decay penetrates the innermost central layer of the tooth, causing infection and pain by damaging nerves and blood supply. If it is left untreated, it can lead to abscess due to which gets necessary to extract the culprit and hot tooth.
No, you will experience no pain during and after the root canal treatment because it is performed under local anesthesia that numbs the specific area and painkillers are prescribed. The dentist at Dental Art applies anesthetic gel before administering the injection so that you will not feel any pain due to needle prick. Dental art always provides comfort and quality dental treatments to meet your expectations. Our specialized team listens to your queries carefully, making you understand everything about the procedure and answers all your questions to remove all your concerns. Moreover, we have all the facilities to entertain our patients due to which they feel no pain or discomfort and some even fall asleep due to the relaxed and hygienic environment.
The visits for root canal treatment depends on the severity of the infection and the structure of the tooth. An infected tooth is treated in multiple visits, and a temporary filling is placed inside the tooth between the visits. Then the patient is recalled after a few days for a follow-up appointment. A root canal procedure is completed in 3 visits, but the duration can extend up to 5 visits in the infected tooth and severely curved roots. When the infection subsides and the tooth is free from any pain, the roots and canals of the tooth are filled with a specific material that is called gutta percha points. Then, the tooth is packed with an amalgam, glass ionomer or laser-filling (composite) material. However, the use of amalgam is currently obsolete due to unnatural color, and it causes tooth darkening after the treatment. Currently, methods are quite advanced due to which tooth filling mimics the natural, and it is difficult to distinguish between them.
The root canal treatment in children starts in the same way as the adults but the roots are smaller in children and the tooth roots are closer to the tooth buds of permanent teeth therefore the filling material of roots in children is different than the adults. Root canal filling materials in baby teeth are usually in paste or powder form which is placed inside the canals after cleaning and shaping the pulp canals. After that, the tooth is filled similarly as it is done in conventional root canal treatment.
Book your appointment today for your child, friend or family member.