A crown and bridge are dental prostheses used to restore damaged, broken, missing, odd-colored, disfigured or malformed teeth. Here's a brief explanation about the types and costs of dental crowns and bridges (Fixed teeth).
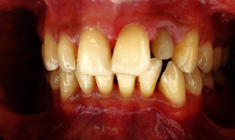
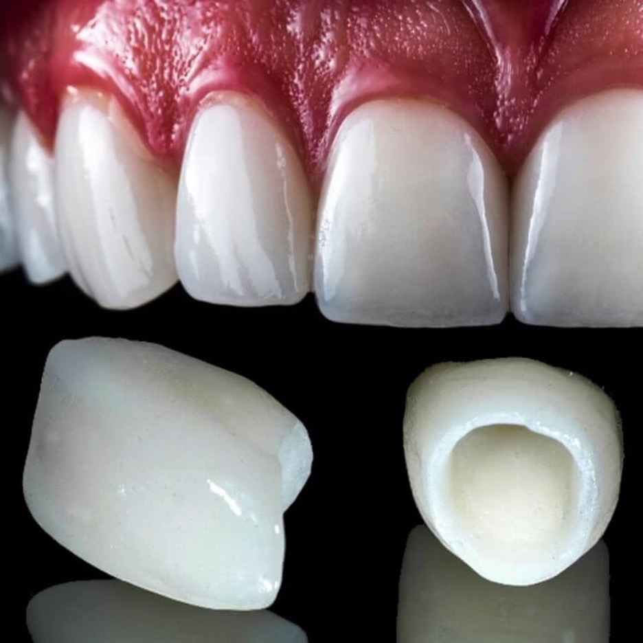
A dental crown is a tooth- shaped cap placed over a damaged or decayed tooth to restore its shape, size, and appearance. Crown is fabricated from various types of materials such as porcelain, zirconia, ceramic, metal alloys, or a combination of these materials and they are cemented over the prepared tooth. When the crowns are cemented, they encase the entire visible structure of the prepared tooth that lies at and above the gum line.



Dentists recommend a crown when a large filling needs replacing or half of the tooth is missing or malformed. Crowns are caps made to fit over an existing tooth which are often recommended following a root canal treatment to protect the remaining structure of the tooth because strength is compromised by extensive decay and infection. Alternatively, crowns are used to cosmetically treat a smile where teeth are heavily filled and the provision of a crown increases tooth stability and improves appearance.
Bridge also known as dental bridge, false teeth or fixed teeth are units of artificial teeth that are fixed to remaining natural teeth or dental implants to fill a gap between two healthy teeth or dental implants. A bridge can be used to replace one or more missing teeth. It consists of one or more artificial teeth (pontics) that are held in place by crowns and are cemented on adjacent healthy teeth or dental implants (abutment teeth) and the results would be excellent with good function and esthetics.
Bridges help restore the chewing function and appearance of the smile by filling in the gaps left by missing teeth. Bridges are also made from different materials, like crowns, depending on the location and aesthetic requirements.
The dental crown cost in Pakistan-Lahore ranges from 1000/- rupees to 50,000/- rupees per crown. However, the exact dental crown cost can be estimated after consultation with a dentist and examination of the teeth and oral conditions.. The variation in the teeth cover price in Pakistan of the crown depends on multiple factors which are explained as below:
1. Types of crown (Material used like Zirconia, PFM-Porcelain Fused to Metal, Metal, and Gold etc.)
2. Temporary or permanent crown
3. Government Hospital/Dental teaching Hospital /Private Dental clinic
4. Location of clinic (Porch area like DHA or Allama Iqbal Town)
5. Experience of a Dentist
6. Number of crowns
7. Specialist or a general dentist or a Quack
8. Additional dental procedures required, like root canal treatment and broken down tooth restoration (endoposts or fillings are required)
9. Complexity of the procedure (e.g. Crown Lengthening required before crown cutting)
10. Crown cementing material and impression techniques.
There are many types of crowns based on material, which include Zirconia, PFM-Porcelain Fused to Metal, metal, Gold, e-max etc. The price of PFM and metal are comparatively cheaper than zirconia and e-max. However, gold crowns are quite expensive because they are fabricated from Gold.
The price of the crown depends on what type of material your dentist or you are selecting for your crown. Moreover, the price can vary according to the site of missing teeth. The price of front teeth is higher than the posterior teeth because it is important to accurately match the shade of the artificial teeth with the natural ones.
The price of crown and bridges depends on whether you're getting treatment from a government hospital or a private dental clinics,. If you're going to a teaching or government dental hospital crown or bridge you have to experience long wait queues and it is difficult to get an early appointment. Moreover, the procedure is performed by inexperienced junior dentists or house officers due to which the quality of treatment is compromised. You also have to travel long distances to reach the hospital due to which your precious time will be wasted and the cost of travel will be a financial burden. The price of the treatment at a teaching hospital is less than the private clinics because they are funded by the government. However, if you select a private clinic for your treatment then it will be performed by an experienced dentist or a prosthodontist who is a specialized doctor which makes the treatment slightly expensive compared to hospitals. But, you will receive quality treatment in a relaxed environment without any long waiting lines. Additionally, the equipment and instruments at a private clinic are latest and sterilized without any risk of contamination.
The price of the crown is also reflected by the experience of the dentist. An experienced dentist is well qualified and proficient in his skills due to which the charges are higher. On the other hand, an inexperienced dentist does not charge as heavily as the experienced dentist because of insufficient expertise.
The price of the crown depends on the number of crowns you are getting. Charges are estimated according to the quantity of the crown. If you're getting a bridge or multiple crowns then the charges will be more.
If a clinic is located in a developed area and lavishly constructed with well decorated interior and latest facilities then the charges will be higher as compared to a clinic which is situated at a local vicinity with basic facilities.
The cost of crown and bridge is also affected by the qualification of the dentist. A specialized dentist or a prosthodontist is an expert in placing crowns and bridges because of his postgraduate qualifications and expertise. However, a general dentist has the basic and initial knowledge about the procedures. Therefore, the charges of a specialist are more than the general dentist.
1. Zirconia crown
2. Porcelain fused to metal(PFM) crown
3. Metal crown
4. Gold crown
5. Temporary crown
6. Pre-fabricated crown
Zirconia crowns are a type of dental crown made from zirconia, a very strong and durable ceramic material known for its aesthetic qualities. They are custom-made to fit each patient's mouth and are designed to blend in naturally with the remaining teeth for the long term. They cover the damaged or decayed teeth, providing strength, functional restoration and a natural appearance.
Zirconia crowns are popular because they can withstand biting and chewing forces well, are biocompatible (unlikely to cause allergic reactions), and can be matched closely to the color of natural teeth. They are a popular choice in modern dentistry and it makes them a preferred choice for many dental patients who are seeking long-lasting natural treated tooth protection, longevity, comfortable bite and aesthetically pleasing dental restorations.
The price of a Zirconia crown in Lahore typically ranges from Rs. 30,000 to Rs.40,000 per crown in 2025. As Zirconia crowns are considered one of the best for their durability and natural look making them a top choice for patients seeking both functionality and restore beautiful smile, hence its prices are higher than other types of crowns. Most of the Government dental hospitals do not have zirconia crown facilities because they cannot afford expensive crown material. Factors that affect the variation in zirconia cost in Lahore include Quality of Zirconia: Higher-grade zirconia crowns with superior strength and aesthetic properties may cost more and the factors as discuss above.
A porcelain-fused-to-metal (PFM) crown is a type of dental crown where a metal shell is covered with tooth-colored stone porcelain. This type of crown is commonly used in dental restorations where both aesthetics and strength are needed, this combines the strength of metal with the natural appearance of porcelain, making it a popular choice for restoring teeth such as for molars or teeth subjected to heavy biting forces. PFM crowns are a cost-effective option for individuals looking for strength and durability, especially for molars or teeth that undergo heavy chewing forces. Their metal substructure provides added resilience, making them ideal for teeth that need extra support. They are also known as traditional crowns and are affordable and facilitated in some government hospitals and all private dental clinics of Pakistan. The metal substructure of a PFM crown is typically made from a high-noble metal alloy, such as palladium, or platinum. The porcelain outer layer is custom-made to match the color and translucency of natural teeth, ensuring a lifelike appearance.
1. Chipping off porcelain with time if not adequate tooth preparations is done.
2. Most of the time, Patient does not satisfy because of color of porcelain hue does not match with natural color.
3. Cutting the extra natural tooth to compensate both metal frame and porcelain thickness.
4. Attrition of opposing natural tooth cusps as porcelain is harder than natural enamel.
5. Metal or gray color gums margins show in front teeth make it unpleasant for patients.
Porcelain-fused-to-metal (PFM) crowns are a popular choice for dental restorations due to their perfect blend of strength and near to aesthetic appeal. The cost of PFM crowns in Lahore typically ranges from Rs. 1,500 to Rs. 30,000, depending on various factors that can influence the overall price.
Private clinics with advanced technology tend to offer PFM crowns at a higher price point due to following reasons:
• Quality of Porcelain: The quality of porcelain used in the PFM crown is a major factor that influences pricing. High-quality porcelain offers a more natural and lifelike appearance, and crowns crafted with superior materials can increase the overall cost.
• Location of the clinic: The location of the dental clinic plays a role in the cost of PFM crown. Clinics in high-demand areas or those with high patient volumes may charge more for services, including temporary crown placements.
• Metal Substructure: The metal used as the base for the PFM crown plays a significant role in determining its price. Crowns made with high-noble metals, such as palladium or platinum, tend to be priced higher due to their superior quality and durability.
Metal crown, also known as metal alloy crown, cheap crown in Lahore is a dental cap made from various types of metals. Common metals used include nickel-chromium or cobalt-chromium. These crowns are known for their strength and durability primarily used for molars and other back teeth that need to endure heavy chewing forces.
While metal crowns are not as aesthetically pleasing as porcelain or zirconia crowns, their robust nature makes them ideal for areas that experience significant wear and tear. They are less preferred for front teeth due to their metallic appearance when you smile, and aesthetically not pleasing as ceramic or zirconia crown.
The price of a Metal crown in Lahore is Rs. 1,000 to Rs. 30,000. Metal crowns are less aesthetically pleasing but very durable and ideal for back teeth, which justifies the cost for patients needing long-lasting solutions.
E-max or Porcelain crowns are dental cap that cover damaged, weakened or decayed entire visible part of a tooth. They are made from porcelain, which resembles natural tooth enamel in color and translucency, making them a popular choice for restoring the appearance and function of teeth, harder than zirconia crowns, and hence they are more expensive than zirconia crowns.
They are custom-made to fit over the prepared tooth and are bonded into place by a dentist. Porcelain crowns improve the tooth's strength, shape, and overall aesthetic, making them a popular choice for patients. They are mostly use in front teeth for improvement of the aesthetics of teeth with severe discoloration or irregularities.
E-MAX crowns, made from high-quality porcelain, are generally more expensive than traditional porcelain fused to metal and zirconia crowns. The cost of an E-MAX crown in Lahore ranges from Rs. 15,000 to Rs. 50,000. For those seeking high aesthetics and a perfect match with natural teeth, E-MAX crowns are an excellent choice despite their higher price range.
Gold crown is also known as Royal crown. These are caps made of gold alloy or gold-plated materials used to cover a damaged tooth offering superior strength and a perfect fit. Gold crowns are a preferred choice for patients seeking a premium dental restoration that provides unmatched longevity and stability. Ideal for molars and back teeth, gold crowns ensure optimal functionality while withstanding heavy chewing forces.
Now a days, mostly patients ask to the dentist to put them on front teeth as a fashion because of outstanding value an. Gold has been historically favored for its durability and biocompatibility in dentistry. These are ornamental headpieces typically made of gold and precious gems, worn by monarchs during ceremonies to symbolize power and authority. These crowns are made from high-quality gold alloy, if you're looking for a reliable and durable solution for your dental needs, gold crowns offer outstanding value and performance.
Gold crowns, known for their unmatched durability and biocompatibility, cost between Rs. 90,000 to Rs. 200,000 in Lahore.
Gold crowns are more expensive because Gold and gold alloys used in these crowns are costly.
• Longevity and Biocompatibility: Gold is one of the most durable materials, and its biocompatibility makes it ideal for patients with sensitivities.
• Fitting and Craftsmanship: The high quality of gold crowns requires precise fitting, which can increase the overall cost.
Gold crowns are perfect for patients seeking a long-term solution with exceptional strength and reliability, especially for back teeth.
As the name indicates, temporary crowns are used for specific time duration and it is a short-term quick dental restoration during dental treatment placed over a natural tooth at dental chair side to protect it while awaiting a permanent crown to get ready because dental laboratories take a few days for the fabrication of the crowns and bridges and it is necessary to protect the tooth from any destruction during this period. These crowns are typically made from acrylic or composite materials and serve to maintain the tooth's function, damage gums contour and appearance during the interim period. They are also cemented during healing periods after the placement of implant because the final crown is placed after the osseointegration of implants. Temporary crowns are specifically used in front teeth because of aesthetic concerns and they are crafted from acrylic or stainless steel material at a laboratory or made chair side after the crown preparation of the tooth. They do not last more than a few days or a week and you must avoid tough and sticky foods until the cementation of final crowns.
The cost of temporary crowns in Lahore ranges from Rs. 5,000 to Rs. 10,000, making them a budget-friendly option for dental patients. The variation in temporary crown cost is depends on type of material and method of fabrication such as laboratory or chair side.
The material used in creating temporary crowns can impact their price Acrylic or composite materials are typically more affordable compared to other materials used for permanent crowns, such as zirconia or porcelain.
A pre-fabricated crown is a type of dental crown that is pre-made in a dental laboratory or factory using standardized teeth shapes and different sizes according to the tooth number offering an affordable solution for patients in need of quick tooth protection and often used in emergency situations (broken front teeth of children). They are also used in adults and placed on the tooth after the crown preparation to avoid fluctuations in prepared margins of the gums.
These crowns are typically made from materials such as stainless steel, resin, or other durable alloys. Unlike custom-made crowns, pre-fabricated crowns are designed to fit a wide range of patients and are used as a temporary or short-term solution for restoring damaged or decayed teeth. Pre-fabricated crowns are cost-effective and can be quickly placed to protect the tooth until a permanent restoration is ready. They are mostly used for the teeth treatment of pediatric patients. However, prefabricated crowns can be customized or modified according to the tooth of the patient which are then cemented to the natural tooth which lasts from few to a year. These crowns are safe and biocompatible which do not cause any harm to the patients.
Pre-fabricated crowns are a budget-friendly and practical option for those looking for immediate protection while waiting for a custom crown. The price of pre-fabricated crowns in Lahore typically ranges from Rs. 2,000 to Rs. 3,000 mainly depends on the type of temporary crown material. This simplicity helps keep costs lower compared to more complex procedures required for permanent crowns.
Following steps are followed for preparation of tooth for crown placement and insertion:
● First of all, the dentist examines the condition of the tooth by taking periapical x-ray or CBCT. If there's any infection or caries, then the tooth is treated accordingly by performing root canal treatment or filling
● If the tooth is already root canal treated, then the dentist check if root canal is performed well and assess if there's any missed canal
● Assessment of the tooth is necessary because it is difficult to remove crown once it is fixed to the tooth
● If the structure of the tooth is compromised, then a fiber or metal post is placed to rebuild the lost structure of the tooth
● If the tooth is carious, then caries is removed and the tooth is filled with appropriate filling material
● Root canal treated tooth does not require to be anesthetized before cutting the crown. However, if the teeth is vital, then the dentist numb the specific tooth so that patient doesn't feel any pain
● Then, the structure of the tooth is cut according to requirements and measurements to reshape it so that the crown can fit on the tooth
● The cutting measurements for porcelain fused to metal, zirconia, and metal crown are different. Zirconia and metal crowns require less cutting of the tooth as compared to PFM crowns
● Crown preparation also varies in anterior and posterior teeth. The shaping of front teeth is different from molars and premolars because anatomical differences
● Front teeth are reduced from incisal surface. However, posterior teeth require occlusion reduction
● If the length of the existing tooth insufficient to place a crown, then the length of the crown is enhanced by performing the procedure of gingivectomy and crown lengthening
● A retraction cord is placed at the margins of the tooth so the anatomy of tooth is perfectly recorded in the impression
● After preparing and shaping the crown, the dentist take impressions of the teeth with either alginate or silicone putty materials
● Impressions can also be taken with the help of CAD CAM techniques which provides digital image of the teeth
● In the next step, the dentist select the shade of tooth with the help of shade guide to exactly match the color of the crown with the natural teeth in case of zirconia and PFM crowns
● After taking the impression, a temporary crown is placed on the tooth with the help of luting material to save the structure of the tooth any damage. However, it is not necessary in all cases
● Temporary crown is usually placed due to aesthetic concerns
● The impression is sent to the lab for manufacturing of the crown
● The dentist recalls the patient after few days for final placements of the crown after its fabrication which is luted to the tooth with the help of different materials
● Before cementing the crown, the dentist assess the bite and check high spots with the help of bite or articulating paper
● After assessment of all details, crown is cemented to the tooth
● Zirconia crowns are placed with the help of light cure material, however, GIC is used to cement PFM crowns to the tooth
● The choice of luting material also depends on the condition of opposing tooth
● After cementing the crown, the dentist removes any excess material or residues and assess the bite once again for perfect occlusion
● There is no disadvantage of crown cutting and placement. It doesn't affect the tooth or any other oral structures
● The dentist recalls the patient after some time for follow-up
Dental Art is the best dental clinic in Lahore for dental crown and bridge which has been serving patients for more than 22 years at the best quality and affordable prices. Dental Art is renowned for maintaining high standards, sterilized instruments, and guaranteed made in japan and USA dental materials. They offer different types of crowns and bridges that cost you within your budget and ensure you receive the best possible treatment that suits both your functional and cosmetic needs. They offer the latest ceramic and metal-free zirconia and E-max crowns, which are considered best for providing long-term esthetics and strength. Their team comprises highly qualified and specialized prosthodontics who provide best treatment for replacing missing teeth with fantastic esthetics along with an effective functioning and a comfortable bite. It’s essential to consult with an experienced dental professional. Choice of crown can be discussed during the consultations and examination process. Dentists are happy to discuss what may be suitable for you. Crown and bridge Cost often reflect the quality of the materials and the crafts skill involved in designing your bespoke crown. They also use the same technology to replace missing teeth with bridgework, giving you fantastic esthetics together with a functioning, comfortable bite.
The life of a well-maintained bridge or crown is quite long, and it depends on the type of material which is used for its fabrication. An average span of a crown or bridge is around 10-15 years. However, it can last for decades with proper maintenance of hygiene, regular brushing, avoiding sticking and hard food, and regular visiting the dentist for follow-ups and regular checkups.
Dental Art provides high-quality treatment with the best choice of material which provides high strength, best fit, and superior esthetics which not only enhance your looks but also provide perfect functioning.
Fixed teeth include crowns or bridges that are placed and fixed over the natural teeth or an implant with cements or screwed to replace the missing teeth to restore their chewing functions. They are permanently attached to the tooth and cannot be removed by the patient. They can only be removed by a dentist with special tools. A single crown is placed over a damaged or root canal treated tooth to enhance its strength. However, a bridge consists minimum of 3 units of crowns or caps which are held together with the help of natural teeth or dental implants used for missing one tooth between them or covered all 3 damaged weak teeth. A patient doesn't have to remove the prosthesis again and again due to the fixed nature of the crown and there are no complaints of improper chewing or bad breath due to food stagnation. The price of fixed teeth in Pakistan for 3 units ranges from 30,000/- rupees to 120,000/- rupees depending on the crown material (Zirconia, PFM-Porcelain Fused to Metal, Metal etc., the number of crowns added in bridge, the experience of the dentist, location of the clinic, whether you're getting treatment from a teaching hospital or a private dental clinic and the complexity of the procedure (If additional dental procedures like root canals required) can impact the final cost. The price will automatically increase if more crowns are added in the bridge like in full-mouth bridge. The exact price can be estimated after the examination and consultation.
A dental bridge consists of multiple crowns which are cemented to the natural teeth or dental implants. A bridge replaces one or more missing teeth in which support is taken from the adjacent teeth or implants which mimic and act like natural teeth. Their purpose is to fill the gap between healthy teeth. They help in restoring the bite and function of the teeth. There's no hassle of removing and storing dental prosthesis which is required in removable dentures. It is difficult to estimate the fixed price of the dental bridge. The price of dental bridge for 3 units in Pakistan vary from 30,000/- rupees to 120,000/- rupees depending on several factors including the materials chosen, private clinic or government hospital, experience of a dentist and the complexity of the procedure. The dental bridge cost mainly vary significantly based on the type of bridge material, such as zirconia, or PFM (Porcelain Fused to Metal), E-max etc. and number of crowns added in bridge or bridges. Each material offers distinct advantages in terms of durability, strength, and aesthetic appeal. The benefits of dental bridges cannot be overlooked because they only provide comfortable chewing and improved aesthetics with a perfect smile. Zirconia bridges are favored for their natural look and provides exceptional strength, while PFM offers a blend of strength and aesthetic value.
At DENTAL ART, we provide high-quality dental bridge solutions tailored to restore both the functionality and aesthetic appeal of your smile, ensuring long-lasting results and patient satisfaction. Book an appointment today to evaluate your or family member’s mouth and get the cost of a crown or bridge.
Zirconia, and E-max are the best crowns and bride choice for front/anterior teeth all across the world because their shades perfectly matches the natural teeth shades. Porcelain fused to metal (PFM) is not recommended on front teeth because of the metal hue and gray gum margins as discussed above.
On the other hand, the selection of crown and bridge of back or posterior teeth crown is totally dependent on tooth condition (weak or solid), budget of the patient, mastication (biting forces), position of the tooth required crown e.g., upper back or lower back tooth and patient preference. Usually, Zirconia high strength, PFM and metal crowns are recommended for back teeth.
Always take advice and follow the selection of crown material for buckteeth because your dentist knows the tooth structure condition better than you.